QUICK LINKS
Dr. Abhishek G Nair
Title: Retinal Tornado: The Fury Of Giant Retinal Tear
Description:This is Optos ultrawide field retinal imaging camera image showing Giant retinal tear, the extent of tear starting from 7o clock to 11o clock (4 clock hours – 120 degrees). The whole temporal retina has detached and has inverted over like a flap. The rolled over retina resembles a tornado. It is as if tornado meets volcano depicting natures most explosive handshake

Dr. Anjana Nair S
Title: Hell‚ Äôs Fire: Twice the Sin!
Description: 57 year old lady who presented with defective vision in right eye since 2 weeks.BCVA was 6/24 P and 6/6 P. She underwent SS OCTA both eyes which showed a large Medusa like vascular network in the avascular slab. SS OCT showed fibrovascular PED with sub retinal fluid in both eyes.

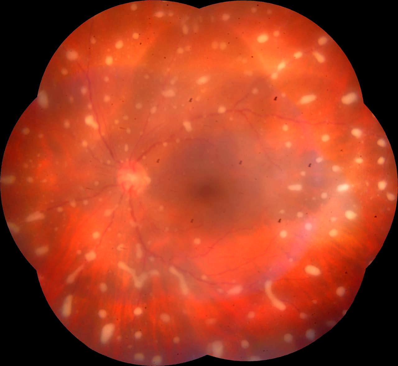
Dr. Neha Sudhakar Peraka
Title: The Vitreous Aquarium: Floating Bell Jelly fish Endophthalmitis
Description: A 60-year-old patient presented with decreased vision in the left eye, two months after cataract surgery. Anterior segment examination revealed 2+ cells, while posterior segment evaluation showed 4+ vitritis with left eye dense vitreous membranes and exudates adherent to the posterior hyaloid and retinal surface. Based on the clinical picture, a diagnosis of left eye chronic postoperative endophthalmitis was made. The patient underwent left eye pars plana vitrectomy (PPV) -Core vitrectomy with intravitreal antibiotics( vancomycin 1mg/0.1ml) +Ceftazidime (2.25mg/0.1ml) Three days vitrectomy left eye showed vitreous exudates, adherent diffusely across the posterior pole and mid-periphery, resemble white spots scattered over the dome of a yellowish-brown floating bell jellyfish. Despite initial treatment, significant exudates persisted, necessitating a repeat intravitreal antibiotic injection on day 3, after which the inflammatory membranes subsided.
